2024/08/16
こんにちは!
シンポ歯科クリニック浦和の新保です。
前回のグログで好評だった、インプラントについてお話しさせていただきます。
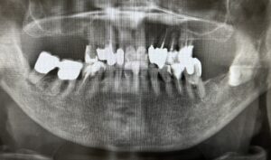
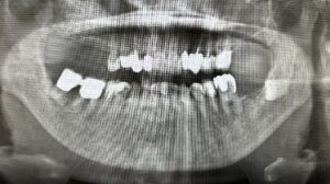
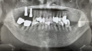
本日は、インプラントの中でも難しいとされている上の歯について詳しくご説明させていただきます。
そもそもインプラントは失った歯を自分の歯の代わりとして人工の歯根を顎の骨に埋め込み、その上に人工の歯を装着して噛み合わせを回復する治療法です。
上の歯が難しいとされている大きな要因は下記の通りです。
【歯根部の硬さの問題】
・顎の骨は、皮質骨と海綿骨で構成されている
・上顎は下顎よりも海綿骨の比率が高い
・歯根部を埋入するための硬さがやや不足しているケースが多い
【骨密度の問題】
・上顎は下顎に比べて骨密度が低い
・顎の骨に埋入した歯根部の結合に時間がかかる
・上記の理由から上の歯はインプラント治療が難しい
【副鼻腔の問題】
・顎の骨が薄いケース
・切歯管内の組織を巻き込まないように注意しなければならない
・インプラント周囲炎を起こすと上顎洞炎の原因になる


上の歯のインプラントが難しいか、ご理解いただけたかと思います。
ご不安なことも多いかと思いますが、当院では、これまで数多くの上の歯のインプラントを実施してきました。
インプラントを実施する際は、信頼できる歯科医院で受けることをお勧めします。
何かありましたらお気軽に御声がけください。
